Ortodoncja Płock –nowoczesne leczenie wad zgryzu u dzieci i dorosłych
W Panorama Uśmiechu prowadzimy kompleksowe leczenie ortodontyczne z wykorzystaniem najnowszych technologii – aparatów stałych, estetycznych, nakładkowych oraz innowacyjnych rozwiązań wspomagających. Łączymy leczenie ortodontyczne z diagnostyką 3D, skanowaniem wewnątrzustnym i współpracą interdyscyplinarną, aby terapia była przewidywalna, komfortowa i trwała.
Kiedy warto zgłosić się do ortodonty?
Do ortodonty warto pójść, jeśli zauważasz:
- krzywe lub stłoczone zęby,
- szpary między zębami,
- przodozgryz, tyłozgryz lub zgryz krzyżowy,
- ścieranie zębów (często powiązane z bruksizmem),
- problemy ze stawem skroniowo-żuchwowym (trzaski, dolegliwości bólowe głowy),
- nawracające stany zapalne dziąseł,
- trudności w higienie,
- oddychanie przez usta lub nieprawidłową pracę języka.
Wada zgryzu to nie tylko estetyka — to również zdrowie zębów, przyzębia, mięśni żucia i stawu skroniowo-żuchwowego.

Jakie aparaty ortodontyczne stosujemy w Panorama Uśmiechu?
Dobieramy metodę leczenia indywidualnie, w zależności od wieku, rodzaju wady i oczekiwań Pacjenta.
Aparaty stałe (metalowe i estetyczne)
klasyczne zamki metalowe,
aparaty metalowe rodowane,
estetyczne zamki kryształowe (wyjątkowo dyskretne i odporne na przebarwienia).
Aparaty nakładkowe – dla dzieci i dorosłych
Nowoczesne, niemal niewidoczne nakładki.
Zalety: estetyka, komfort, łatwiejsza higiena, przewidywalny cyfrowy plan leczenia.
Aparaty dla dzieci
- aparaty ruchome,
aparaty Hyrax i ekspandery do rozbudowy szczęki,
aparaty grubołukowe: łuk podniebienny, Lip Bumper i dystalizator,
aparaty wykorzystujące miniimplanty ortodontyczne (Beneslider, Hybrid Hyrax).
Każdy rodzaj aparatu poprzedza dokładna diagnostyka, w tym skan 3D — komfortowa alternatywa dla tradycyjnych wycisków.
Leczenie ortodontyczne krok po kroku
Konsultacja i diagnostyka 3D
Podczas pierwszej wizyty ortodonta:
- bada Pacjenta i ocenia zgryz,
- wykonuje dokumentację fotograficzną (wewnątrzustną i twarzową),
- zleca pantomogram oraz cefalometrię (a jeśli wskazane — CBCT),
- wykonuje skan 3D zębów zamiast tradycyjnych wycisków.
Na tej podstawie przygotowuje wstępną diagnozę i określa zakres leczenia. Jeśli jest taka potrzeba, kierujemy do stomatologa, periodontologa, chirurga, fizjoterapeuty lub neurologopedy — aby przygotować jamę ustną do rozpoczęcia terapii.
Opracowanie indywidualnego planu leczenia ortodontycznego
Na drugiej wizycie ortodonta:
- omawia szczegółową analizę zgryzu,
- przedstawia możliwe metody leczenia (aparat stały, aparaty nakładkowe, aparaty wspomagające),
- wyjaśnia czas terapii, częstotliwość wizyt i kosztorys.
To jedna z najważniejszych wizyt w całym procesie.
Przygotowanie do montażu aparatu (gabinet higieny)
Zanim założymy aparat, higienistka:
- ocenia stan higieny jamy ustnej,
- wykonuje instruktaż szczotkowania i nitkowania,
- dobiera akcesoria higieniczne,
- w razie potrzeby wykonuje scaling i piaskowanie (usunięcie kamienia i osadów),
- zakłada separacje — jeśli jest to wymagane przed aparatem stałym.
Dobra higiena to warunek bezpiecznego leczenia.
Montaż aparatu ortodontycznego
Podczas wizyty:
- zakładamy aparat stały lub przekazujemy pierwsze aparaty nakładkowe,
- instruujemy Pacjenta, jak dbać o aparat,
- omawiamy zasady diety i postępowania.
Wizyta trwa zwykle 30–90 minut, w zależności od rodzaju aparatu.
Wizyty kontrolne u ortodonty
Odbywają się:
- co 4–8 tygodni przy aparatach stałych,
- rzadziej przy aparatach nakładkowych.
Na kontrolach aktywujemy aparat, monitorujemy postępy i korygujemy plan, jeśli jest to potrzebne.
Retencja – utrwalenie efektów
Po zdjęciu aparatu wykonujemy:
- retainer stały (cienki drucik od wewnętrznej strony zębów),
- nakładki retencyjne,
- regularne kontrole stabilizacji.
Retencja jest niezbędna — chroni efekt leczenia przez lata.
Dlaczego warto leczyć wady zgryzu właśnie u nas?
Diagnostyka 3D i skan 3D już na pierwszej wizycie.
Leczenie dzieci i dorosłych – od terapii wczesnych po kompleksowe rehabilitacje.
Nowoczesne aparaty: nakładkowe, kryształowe zamki, aparaty hyrax, miniimplanty.
Pełna interdyscyplinarność (ortodonta + chirurg + protetyk + periodontolog + fizjoterapeuta stomatologiczny).
Estetyczne i precyzyjne efekty dzięki technologiom cyfrowym.
Komfort — znieczulenie, delikatne techniki i jasne wyjaśnienia na każdym etapie.
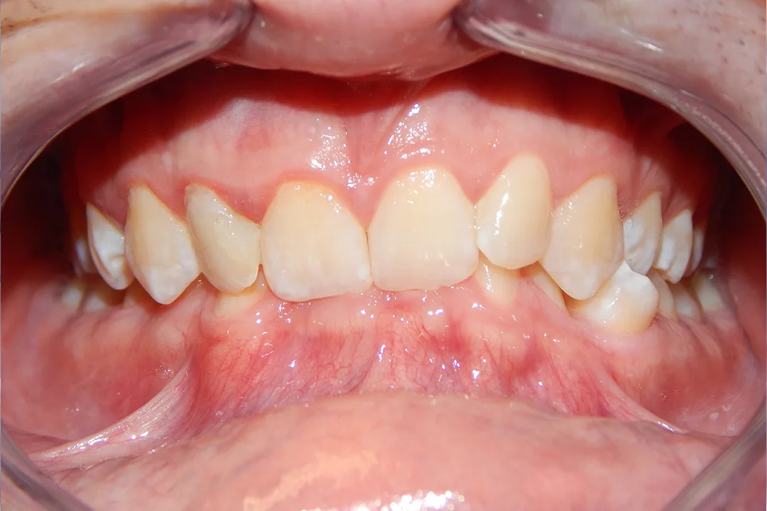
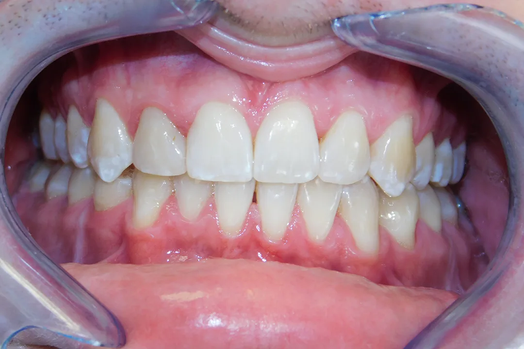
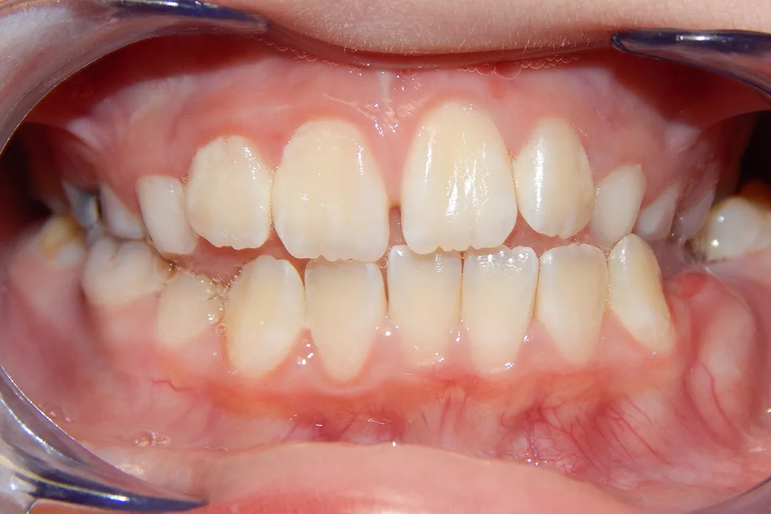
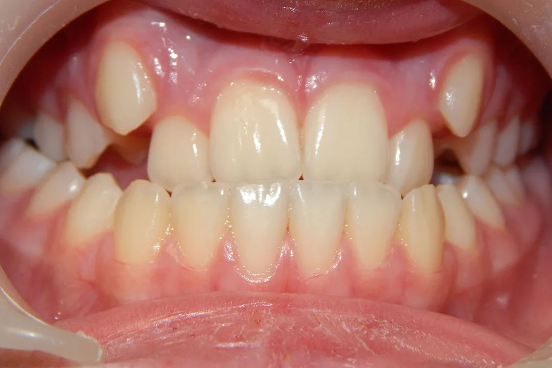
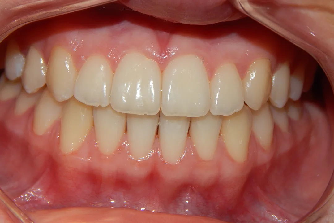
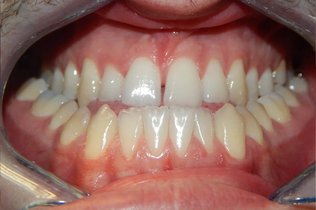
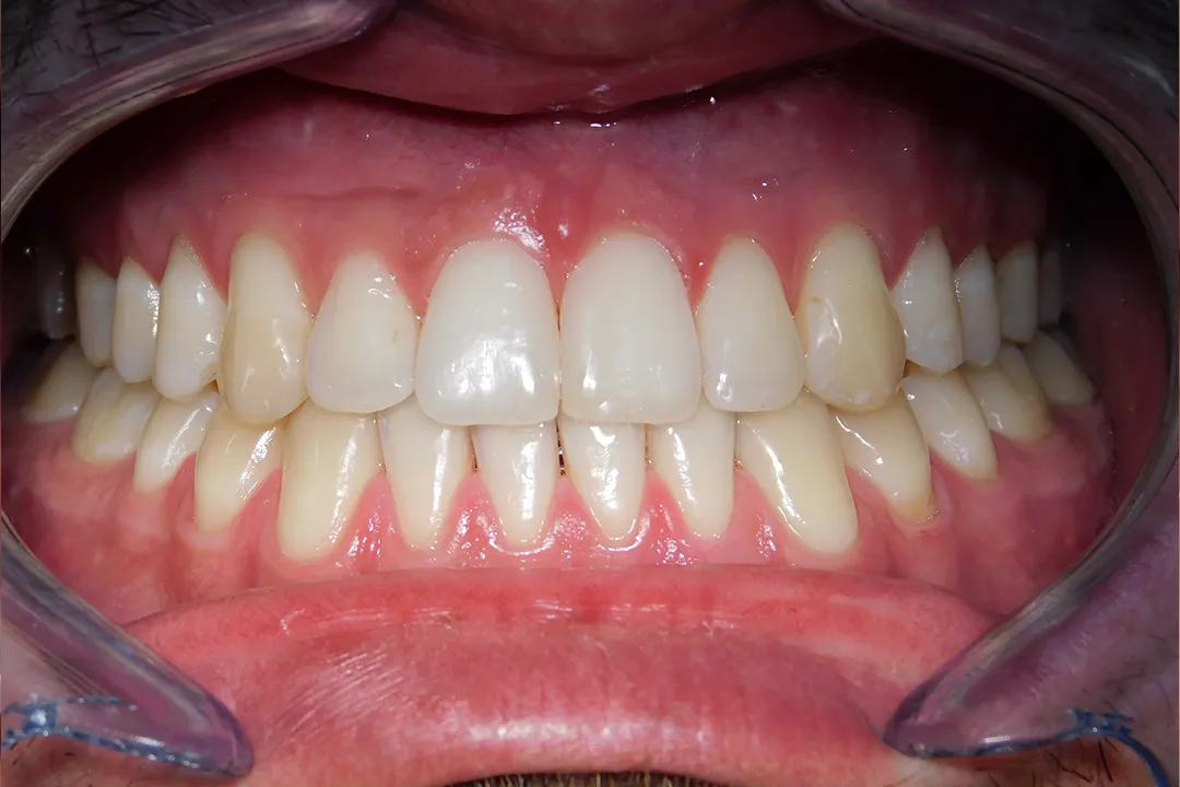
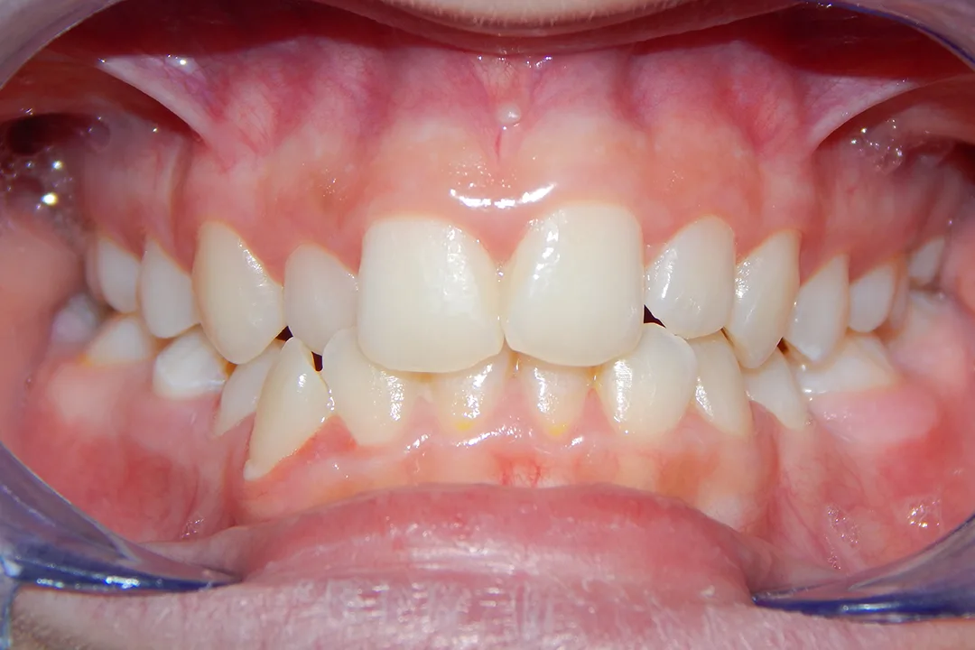
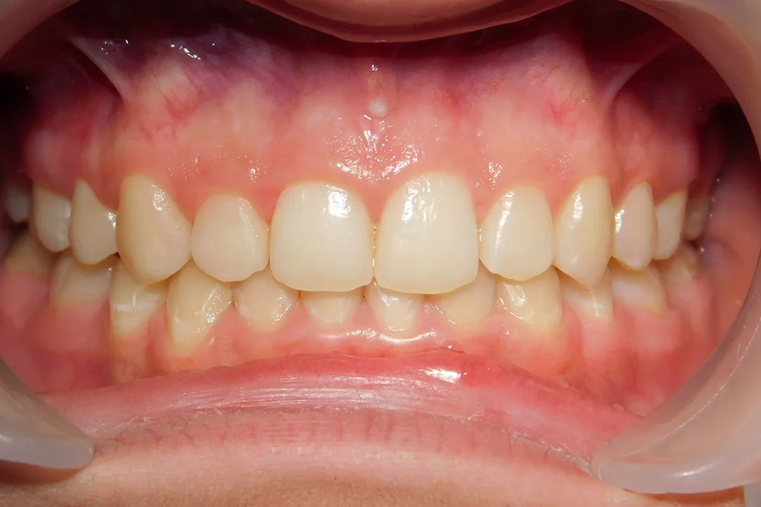
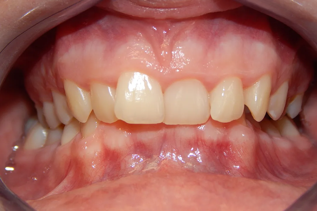
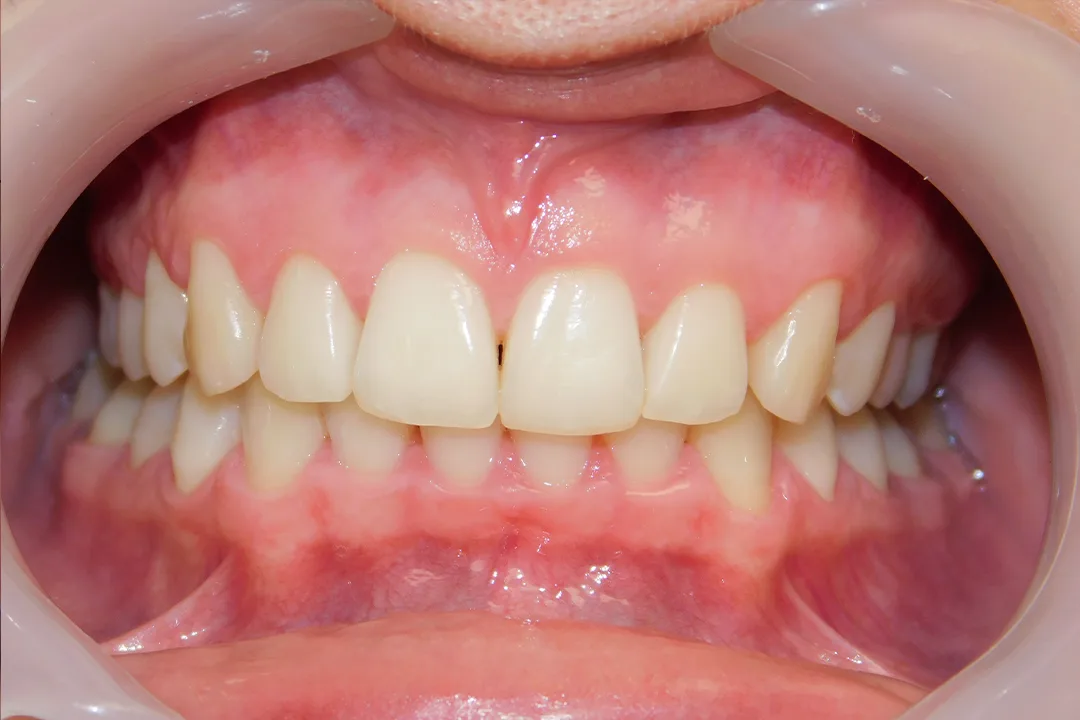
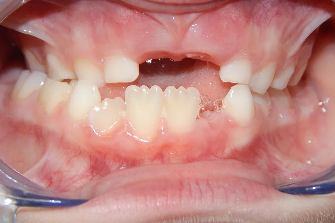
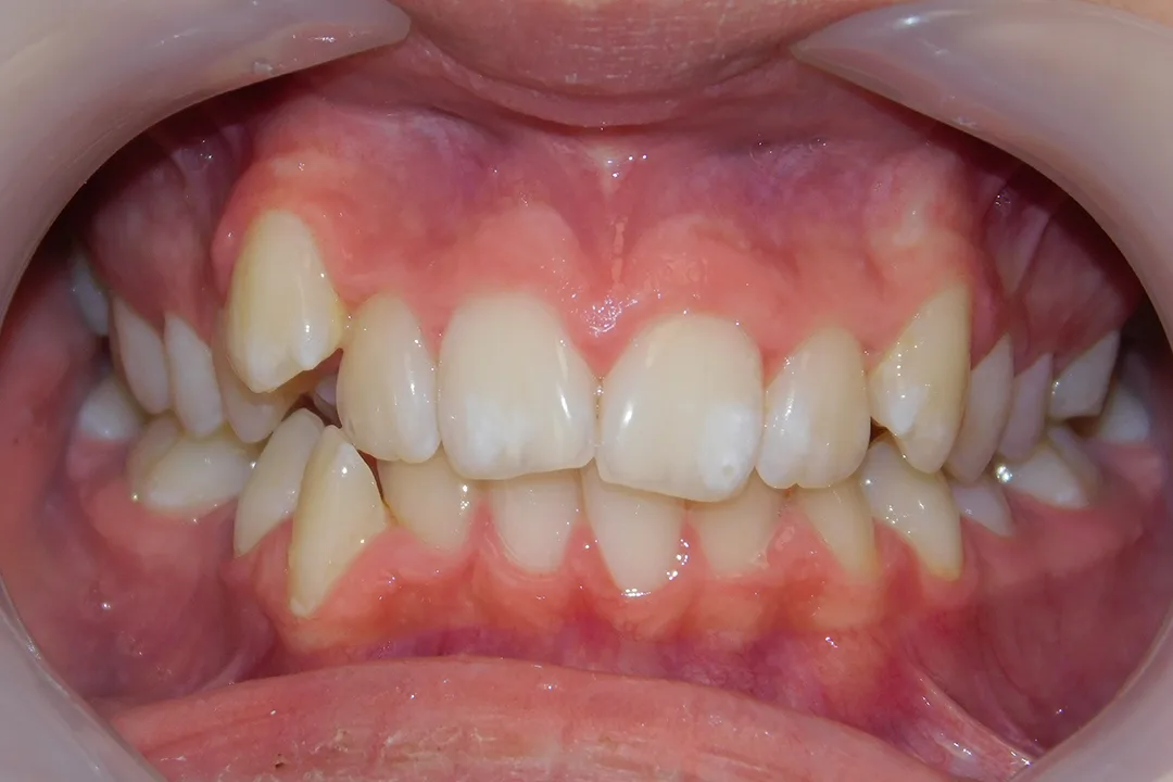
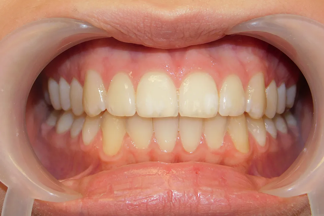
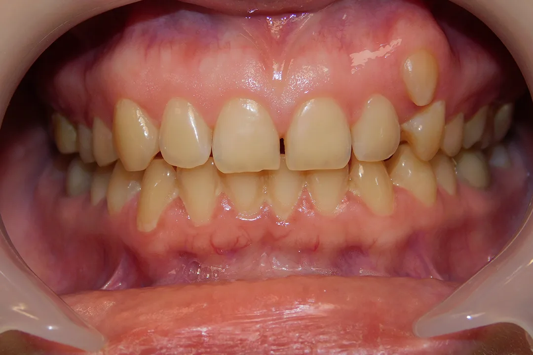
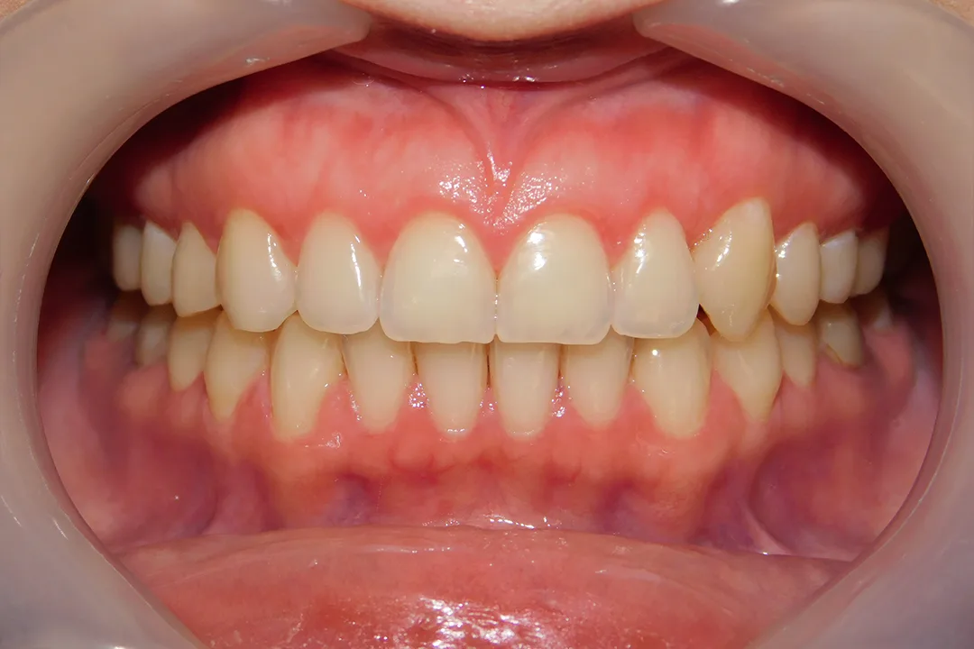
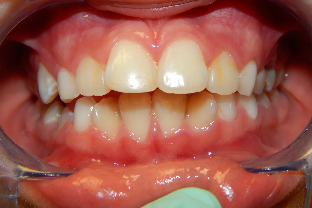
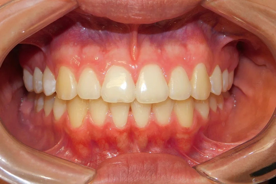
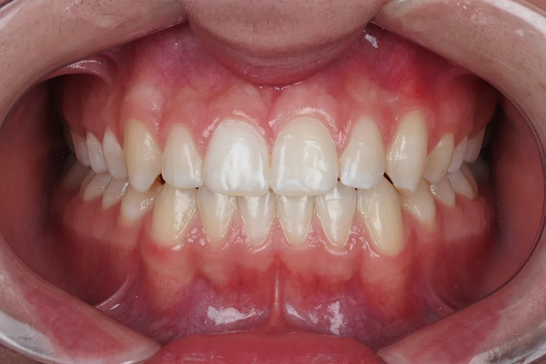
Metamorfozy ortodoncja
- Leczenie aparatami stałymi
- Aparat Hyrax
- Leczenie aparatami stałymi
- Aparat Hyrax
- Maska Twarzowa
- Leczenie aparatami stałymi
- Leczenie zespołowe ortodontyczno-ortognatyczne
- Leczenie aparatami stałymi
- Leczenie aparatami stałymi
- Leczenie wczesne aparatem Hyrax
- Dystalizator Beneslider
- Leczenie aparatami stałymi
- Leczenie aparatami stałymi
- Aparat dystalizator Beneslider
- Leczenie aparatami stałymi
- Leczenie aparatami stałymi
- Leczenie wczesne aparatem Hyrax oraz maską twarzową
- Leczenie aparatami stałymi
FAQ – najczęściej zadawane pytania Pacjentów
Warto mieć aktualny przegląd stomatologiczny. Jeśli posiadasz pantomogram z ostatnich 12 miesięcy — zabierz go. Zadbaj o higienę jamy ustnej i przyjdź 10–15 minut wcześniej na wypełnienie formularzy.
Nie. Sam montaż aparatu jest procedurą nieinwazyjną i nie wiąże się z nieprzyjemnymi odczuciami. Przez 2–3 dni po założeniu aparatu może pojawić się tkliwość, co jest naturalną reakcją zębów na działanie sił ortodontycznych.
Zwykle 60–90 minut, w zależności od złożoności wady i rodzaju aparatu.
Co 4–8 tygodni. Przy aparatach nakładkowych wizyty są rzadsze.
To zależy od rodzaju wady i wieku Pacjenta.
– aparaty ruchome stosuje się głównie u dzieci,
– aparaty stałe sprawdzają się przy bardziej złożonych wadach,
– aparaty nakładkowe są dyskretne i wygodne, przy wielu wadach tak samo skuteczne jak aparat stały.
Tak — pod warunkiem systematycznego noszenia. U dzieci aparaty ruchome pomagają korygować rozwój szczęki i żuchwy oraz zapobiegać przyszłym wadom.
Średnio 12–24 miesiące, w zależności od rodzaju wady, rodzaju aparatu i regularności wizyt.
Tak. Wypełnienia, leczenie kanałowe czy usuwanie ósemek można wykonywać w trakcie leczenia ortodontycznego.
Skontaktuj się z recepcją gabinetu jak najszybciej. Czekanie do kolejnej wizyty może wydłużyć leczenie.
Tak — dlatego uczymy techniki higieny, dobieramy szczoteczki, nici oraz akcesoria i przypominamy o regularnych kontrolach higienizacyjnych.
Chcesz rozpocząć leczenie ortodontyczne w Płocku?
Umów konsultację — przygotujemy dla Ciebie indywidualny plan i omówimy wszystkie możliwości.





















