Kompleksowa stomatologia dla dzieci i dorosłych w Płocku
W Panorama Uśmiechu dbamy o zdrowe uśmiechy dzieci i dorosłych, oferując pełen zakres nowoczesnej opieki stomatologicznej. Pracujemy z wykorzystaniem diagnostyki 3D, powiększenia (lupy i mikroskop) oraz nowoczesnych metod znieczulenia, w tym sedacji wziewnej. Zapewniamy kompleksowe leczenie — od profilaktyki, stomatologii zachowawczej i leczenia dziąseł, przez ortodoncję i endodoncję, aż po implanty, protetykę i kompleksowe metamorfozy uśmiechu.
Dlaczego Pacjenci wybierają Panorama Uśmiechu?
Tworzymy klinikę, w której leczenie zawsze zaczyna się od rozmowy, zrozumienia problemu i dokładnego badania. Jesteśmy miejscem, które łączy doświadczenie, nowoczesne technologie i spokojne, empatyczne podejście.
holistyczne podejście do leczenia uzębienia – uwzględniamy estetykę, funkcję i komfort oraz zdrowie dziąseł i tkanek otaczających zęby
nowoczesna diagnostyka 3D (CBCT, skaner wewnątrzustny),
leczenie zębów w powiększeniu (lupy, mikroskop),
znieczulenie komputerowe + sedacja wziewna,
zespół doświadczonych specjalistów z różnych dziedzin stomatologii,
najwyższe standardy materiałów i procedur.


Wybierz usługę stomatologiczną, której potrzebujesz
Oferujemy pełny zakres usług w jednym miejscu – od leczenia próchnicy i kanałowego, przez ortodoncję i estetykę, po implanty i stomatologię dziecięcą.
Stomatologia zachowawcza
Leczenie próchnicy i odbudowy kompozytowe – precyzyjnie i w powiększeniu.

Periodontologia
Diagnostyka, leczenie i regeneracja tkanek przyzębia z wykorzystaniem nowoczesnych metod i precyzyjnych zabiegów mikrochirurgicznych.

Endodoncja (leczenie kanałowe)
Ratowanie zębów pod mikroskopem, zgodnie z najnowszymi procedurami.

Jak przebiega leczenie zębów w naszej klinice?
Konsultacja, badanie i diagnostyka
Rozmawiamy z Pacjentem, badamy jamę ustną i – jeśli potrzeba – wspieramy się diagnostyką 3D.
Indywidualny plan leczenia
Omawiamy możliwości, alternatywy i kosztorys.
Leczenie z użyciem nowoczesnych technologii
Znieczulenie komputerowe, praca w powiększeniu, precyzyjne procedury.
Kontrola i profilaktyka
Dbamy o trwałość efektów i zdrowie na lata.
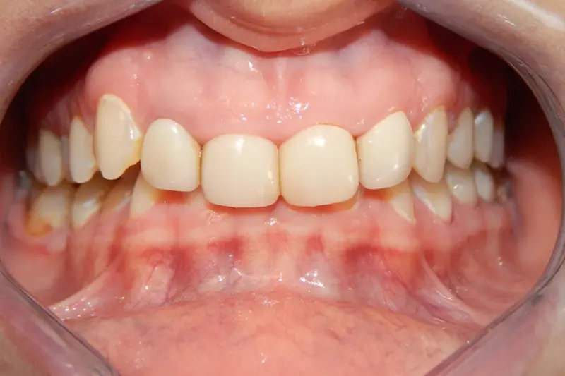
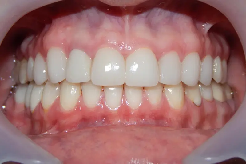
Zobacz metamorfozy uśmiechów naszych Pacjentów
Każda przemiana to efekt współpracy naszych specjalistów. Stosujemy nowoczesne rozwiązania — od ortodoncji i leczenia kanałowego, przez bonding i licówki, aż po implanty — aby uzyskać naturalny, trwały i zdrowy efekt.
Poznaj Zespół naszych ekspertów
Nasz zespół tworzą stomatolodzy, ortodonci, periodontolodzy, endodonci, chirurdzy oraz higienistki – każdy z nich pracuje według jednolitych standardów leczenia, a wszystkie trudniejsze przypadki omawiamy zespołowo.
Najczęściej wybierane zabiegi
Leczenie kanałowe w mikroskopie
Precyzyjne leczenie trudnych kanałów pod powiększeniem.
Co mówią o nas Pacjenci
Twoje zaufanie jest dla nas najważniejsze. Przeczytaj, co Pacjenci piszą o leczeniu w Panorama Uśmiechu.
Aneta Stobiecka02/04/2026Trustindex sprawdza, czy pierwotnym źródłem recenzji jest Google. Polecam z całego serca Panie zawsze mile delikatne corka zawsze zadowolona Aneta Marciszewska24/03/2026Trustindex sprawdza, czy pierwotnym źródłem recenzji jest Google. Maciej rozpoczął swoją przygodę z Panoramą Uśmiechu 4 lata temu. Wspaniała Pani doktor stomatolog wyleczyła zęby. Jej cudowne i cierpliwe podejście i opowiadanie bajej i innych opowieści bardzo mnie urzekły. Teraz syn ma kolejny etap u ortodonty i tu też wspaniałe podejście. Pani doktor cierpliwa, wyrozumiała i przedewszystkim fachowiec. Jestem spokojna, że syn jest tu pod opieką stomatologiczną i ortodontyczny. Polecam Ewa17/03/2026Trustindex sprawdza, czy pierwotnym źródłem recenzji jest Google. Super opieka, wspaniali lekarze. Doktor Skałbania jest wspaniałym chirurgiem, szybko i sprawnie przeprowadził moją sytuację :) Bardzo dokładnie i delikatnie przeprowadzone higienizacje, wielokrotnie korzystałam. Dziękuję bardzo za taką opiekę! Ewa Denkiewicz09/02/2026Trustindex sprawdza, czy pierwotnym źródłem recenzji jest Google. Najcudowniejsze dentystki! Specjalnie jadę długą drogę dla dr Przybysz i dr Tomaszewskiej. Lepiej nie da się trafić :) taka profeska, takie miłe! Polecam bardzo Stanisław Połosak10/01/2026Trustindex sprawdza, czy pierwotnym źródłem recenzji jest Google. Co tu dużo mówić, usługi na najwyższym poziomie, bardzo przystępne terminy (nawet w sytuacjach awaryjnych), obsługa? Top of the top. Pozdrowienia dla dr. Krzysztofa Skałbania, pełen profesjonalizm w każdym działaniu, człowiek pełen humoru, wszystko bez bólu bez strachu. Każdemu polecam z całego serca, oby tak dalej!!! Cherry08/12/2025Trustindex sprawdza, czy pierwotnym źródłem recenzji jest Google. Jestem zadowolona z przebiegu leczenia ortodontycznego, prowadzenia przez Panią dr Przybysz oraz efektu końcowego. Pani dr zawsze cierpliwie odpowiadała na moje pytania, a kiedy pojawiły się komplikacje z szóstką, dawała wyraz szczeremu zatroskaniu, jednocześnie podejmując konkretne działania, co do dalszego leczenia. Dzięki temu nie straciłam zęba. Dziękuję za indywidualne podejście do pacjenta i empatię. Jeśli chodzi o higienizację, to nikt nie czyści tak dokładnie ząbków, jak Pani Jola. A do tego ten miękki fotel w gabinecie pozwala się troszkę zrelaksować :) Dziękuję też pani Monice za cierpliwość i elastyczność, którą okazuje zawsze podczas szukania dogodnych dla mnie terminów. Oj musi się nagimnastykować! Jakubekk 1406/12/2025Trustindex sprawdza, czy pierwotnym źródłem recenzji jest Google. Byłem na usuwaniu dwóch ósemek, myślałem że to okropne doznanie a tutaj raz dwa polecieli z tematem, elegancko znieczulone i żadnego bólu, pan Krzysztof bardzo doświadczony i przyjazny. Każde inne usługi jak dotąd też zostały wykonane znakomicie i nie mam żadnych zastrzeżeń, polecam każdemu kto szuka wiarygodnego leczenia zębów.
Szukasz stomatologa w Płocku dla siebie lub dziecka?
Panorama Uśmiechu to nowoczesna klinika stomatologiczna oferująca pełen zakres leczenia. Skontaktuj się z nami i umów wizytę.















