Smile makeovers: The effects of dental treatment
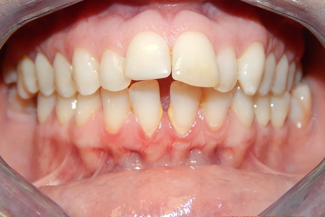
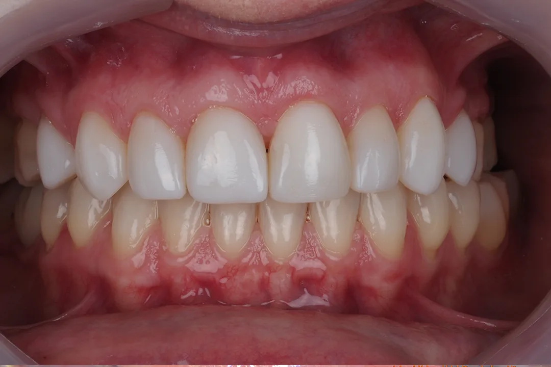
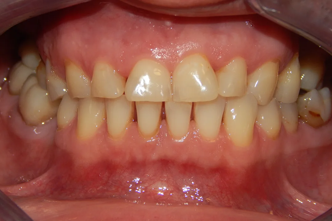
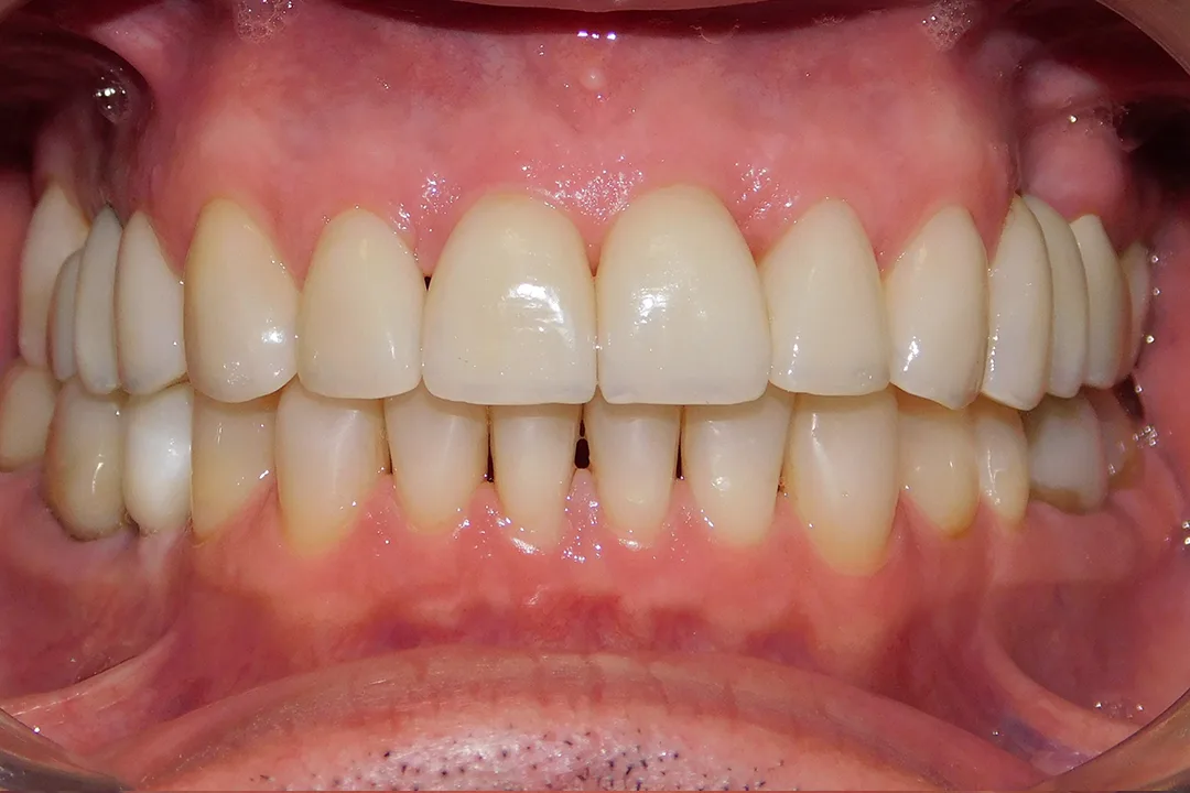
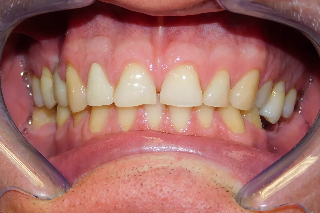
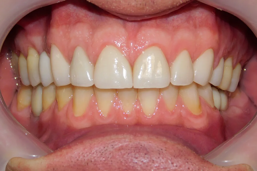
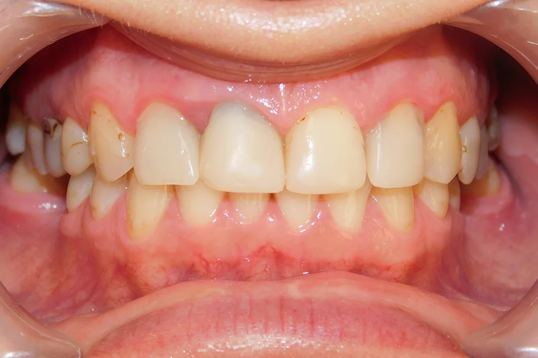
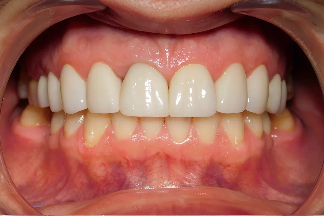
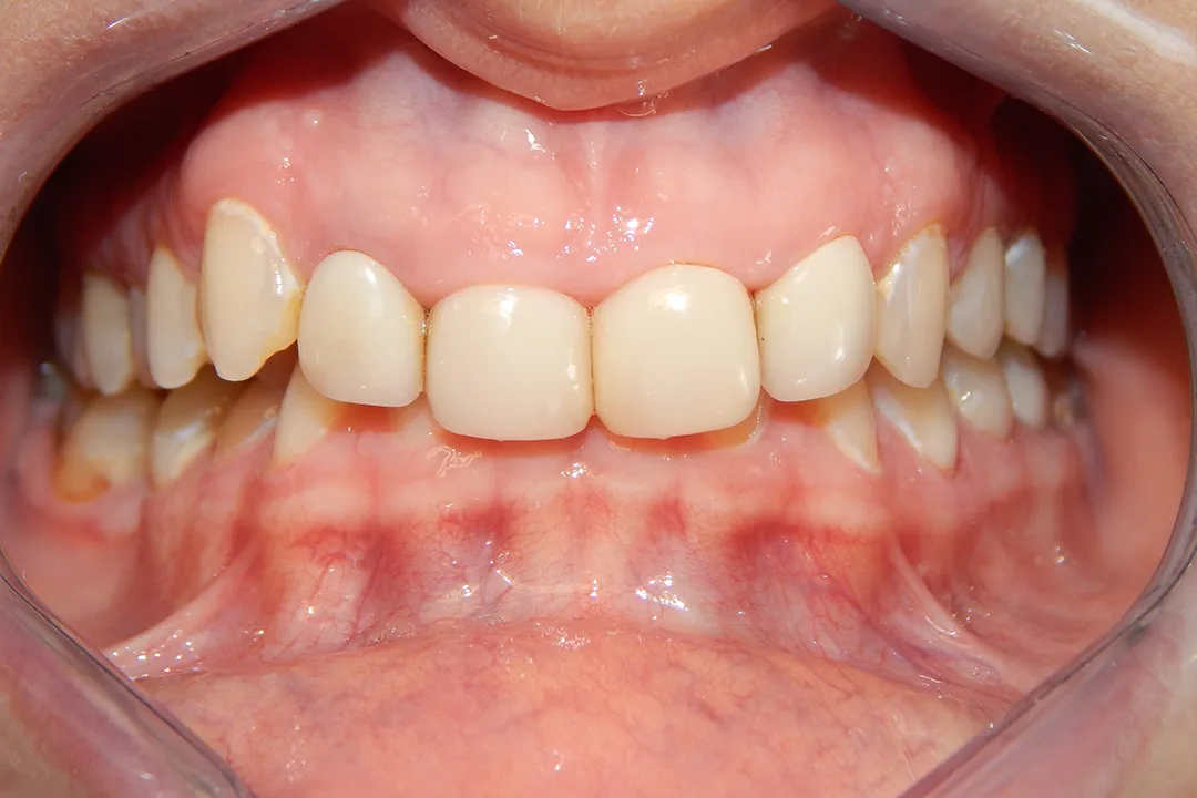
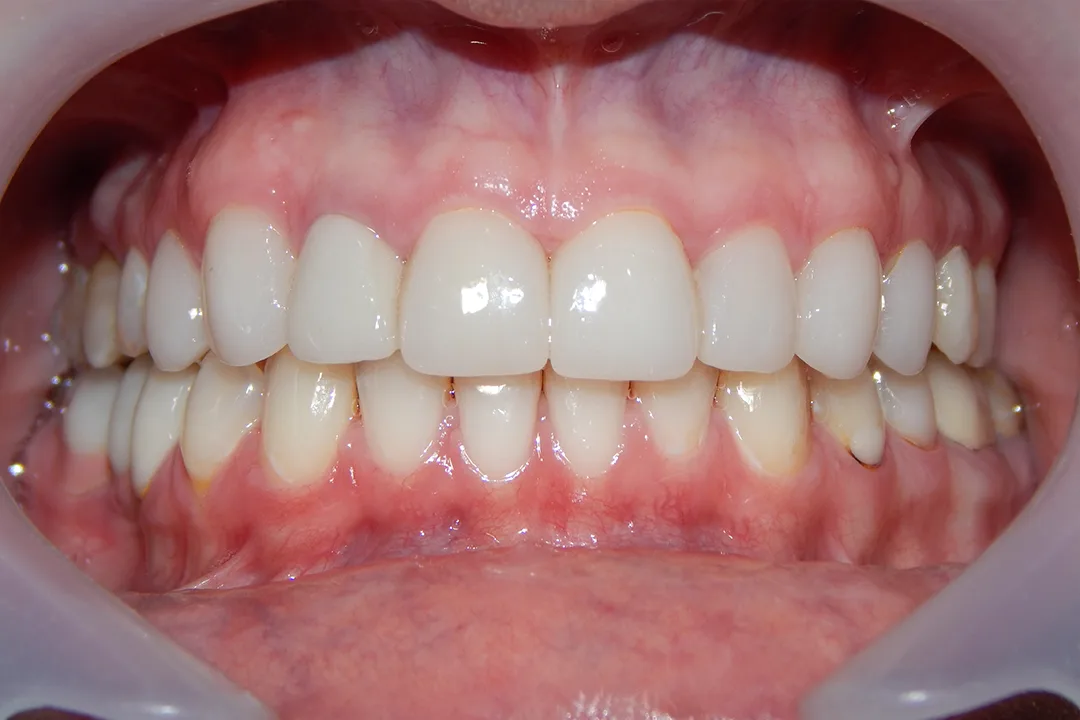
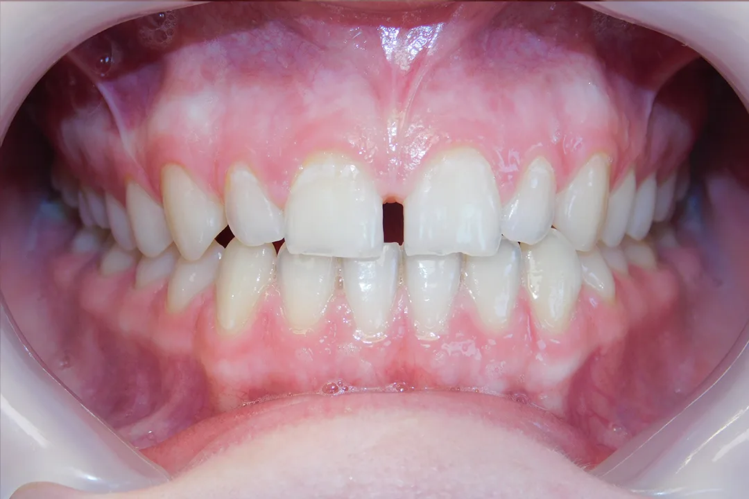
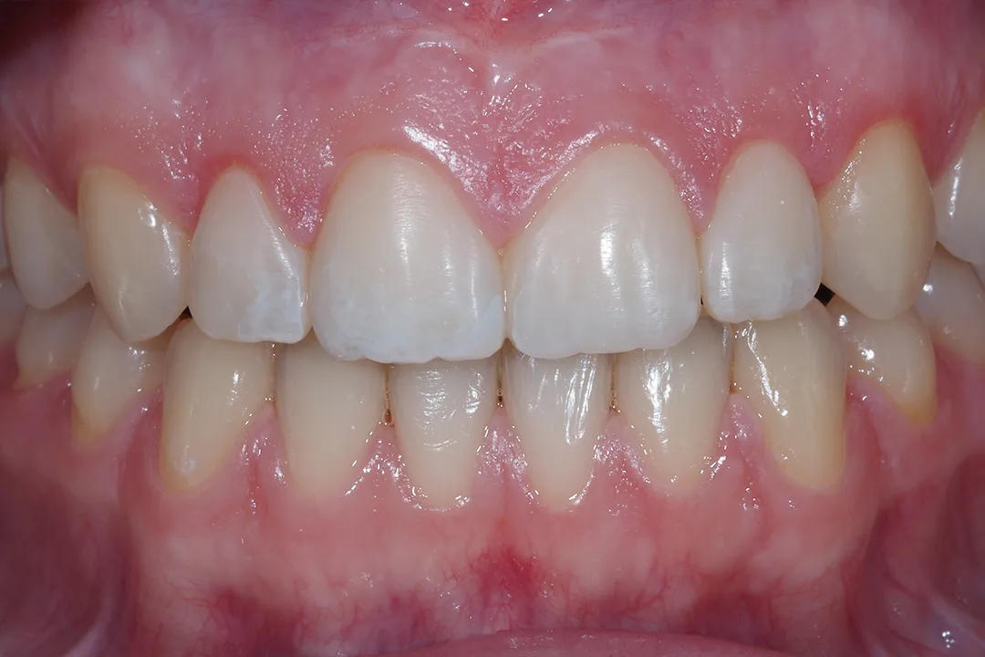
Take a look at the real smile makeovers of patients at the Panorama Uśmiechu clinic in Płock. The ‘before and after’ photos demonstrate the results of personalised treatment plans based on diagnostics and the team’s expertise.
Example makeovers
- Orthodontic treatment with fixed braces,
- Unilateral lengthening of clinical crowns on incisors to even out the smile line,
- Implant + crown for a missing tooth
- Aesthetic restoration using composite materials (‘bonding’)
- Orthodontic treatment with fixed braces
- Reconstruction of a short circuit using composite materials
- Porcelain veneers in the anterior region
- Periodontal treatment
- Leczenie ortodontyczne aparatami stałymi,
- Orthodontic treatment with fixed braces,
- Implant prosthetic treatment,
- Veneers and porcelain crowns,
- Reconstruction of a short circuit using composite materials,
- Implant prosthetic treatment,
- Porcelain crowns
- Conservative treatment
- Porcelain veneers and crowns
- Orthodontic treatment
- Composite reconstruction in the anterior section (‘bonding’).
- Orthodontic treatment with fixed braces
- Porcelain veneers
- Orthodontic treatment with fixed braces
- Gingivoplasty
- Porcelain crowns
- Orthodontic treatment
- Upper lip frenulum surgery
- Composite reconstruction of incisors (‘bonding’).
Orthodontic makeovers
- Early treatment with the Hyrax appliance and face mask
- Treatment with fixed braces
- Treatment with fixed braces
- Beneslider distalizer device
- Treatment with fixed braces
- Treatment with fixed braces
- Early treatment with the Hyrax braces
- Beneslider distalisator
- Treatment with fixed braces
- Treatment with fixed braces
- Treatment with fixed braces
- Team orthodontic and orthognathic treatment
- Hyrax braces
- Face mask
- Treatment with fixed braces
- Hyrax braces
- Treatment with fixed braces
- Treatment with fixed braces
Smile makeovers as a dental treatment process
A smile makeover is not a single procedure, but rather a treatment process involving thorough dental diagnostics and collaboration between specialists in various fields of dentistry. Depending on the individual case, it may involve several or even a dozen stages, with the ultimate goal being to enhance not only the aesthetics, but also the health and functionality of the masticatory system.
The following specialists are most often involved in the dental metamorphosis process:
- orthodontist,
- prosthodontist,
- implantologist,
- periodontist,
- cosmetic dentist,
- endodontist,
- dental surgeon.
The scope of treatment is always selected based on the initial condition, therapeutic possibilities and the patient’s real needs.

Do you want to improve the appearance and function of your smile?
Contact us to make an appointment at Panorama Uśmiechu in Płock.







































